
Periodoncia en León para la salud de tus encías


Tratamos y prevenimos enfermedades de las encías para proteger tus dientes.
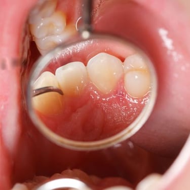
Cuidado integral de encías y tejidos
La periodoncia se encarga del diagnóstico y tratamiento de enfermedades que afectan las encías y el soporte dental.
Un tratamiento oportuno ayuda a evitar la pérdida dental y mantener una sonrisa sana.













